Some 14 million jobs won't exist globally in 5 years, report says
Here are the jobs that will be most impacted in the years ahead, according to the new report by the World Economic Forum.
Here are the jobs that will be most impacted in the years ahead, according to the new report by the World Economic Forum.
Study finds ChatGPT struggles with math, unlikely to replace accountants
Despite near-perfect GRE and bar scores, an AI model was found to sometimes struggles with basic math functions.
Despite near-perfect GRE and bar scores, an AI model was found to sometimes struggles with basic math functions.
Jada Pinkett Smith says 'Red Table Talk' is looking for 'new home' after Facebook Watch cancellation
A Meta spokesperson said it will be refocusing on original content in virtual reality.
A Meta spokesperson said it will be refocusing on original content in virtual reality.
Tech sector continues to shed jobs as Dropbox lays off 500
Employees affected by the Dropbox layoffs will get 16 weeks pay as severance, plus an additional week's pay for every year of tenure.
Employees affected by the Dropbox layoffs will get 16 weeks pay as severance, plus an additional week's pay for every year of tenure.
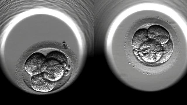
Sperm-injecting robot used to create babies in scientific breakthrough
According to the MIT report, engineers used a Sony PlayStation 5 controller to operate the robot.
According to the MIT report, engineers used a Sony PlayStation 5 controller to operate the robot.
John Legend calls for regulation on AI-generated music
A fake Drake and The Weeknd song that used AI to clone their voices was pulled from Spotify, other streaming platforms.
A fake Drake and The Weeknd song that used AI to clone their voices was pulled from Spotify, other streaming platforms.
The tortuous new dating trend 'getting zombied', explained
Imagine being ghosted by an ex, except this time they come back.
Imagine being ghosted by an ex, except this time they come back.
Amazon axes 'Halo' fitness program: How to get a refund
Amazon said the Halo devices and app will no longer work after August 1.
Amazon said the Halo devices and app will no longer work after August 1.
People spent 24% more time on Instagram after launch of AI-powered Reels, Zuckerberg says
People are spending even more time on Instagram due to short-form video content they’re seeing in their feed through AI recommendations, according to Meta CEO Mark Zuckerberg.
People are spending even more time on Instagram due to short-form video content they’re seeing in their feed through AI recommendations, according to Meta CEO Mark Zuckerberg.
ChatGPT: What you should know about the AI chatbot and its impacts, both good and bad
There has been a lot of attention over ChatGPT, as well as its impact on not only education, but other facets of life as well. Here's what you should know about the relatively new chatbot technology, as well as its impact on society, and people's concerns about it.
There has been a lot of attention over ChatGPT, as well as its impact on not only education, but other facets of life as well. Here's what you should know about the relatively new chatbot technology, as well as its impact on society, and people's concerns about it.
Are ASU students using AI to help with school work? Most say no. Here's why
Arizona State starts finals next week, and for students, that means extra work and extra stress. Will students use artificial intelligence, or AI, to help, or to cheat? We have what a professor who teaches about this very topic give his take.
Arizona State starts finals next week, and for students, that means extra work and extra stress. Will students use artificial intelligence, or AI, to help, or to cheat? We have what a professor who teaches about this very topic give his take.
Senators look to ban kids under 13 from social media in bipartisan bill
The legislation would also reportedly set restrictions for how tech companies use algorithms on social media to serve minors. Here's what to know.
The legislation would also reportedly set restrictions for how tech companies use algorithms on social media to serve minors. Here's what to know.
Arizona man accused of sending sexually explicit photos to daughter's teenage best friend
A Peoria man has been arrested, according to court documents, after he allegedly sent sexually explicit photos to his daughter's teenage best friend.
A Peoria man has been arrested, according to court documents, after he allegedly sent sexually explicit photos to his daughter's teenage best friend.
Lost iPhone survives 33 days under water off Hawaiian coast
A Minnesota man gave up on retrieving his iPhone after dropping it while on vacation, but the phone had a lot more endurance than he thought.
A Minnesota man gave up on retrieving his iPhone after dropping it while on vacation, but the phone had a lot more endurance than he thought.
AST SpaceMobile completes first space-based voice call using smartphones
AST SpaceMobile parnered with AT&T, Rakuten, Vodafone
AST SpaceMobile parnered with AT&T, Rakuten, Vodafone
Tinder trouble: Man charged with impersonating deputy on dating app
The images showed him wearing a deputy's uniform, and one image showed him carrying a loaded gun, New Mexico authorities said.
The images showed him wearing a deputy's uniform, and one image showed him carrying a loaded gun, New Mexico authorities said.
GM ditching Chevy Bolt, shifting to electric trucks
General Motors is ready to move on from its top-selling electric vehicle to make room for larger models that run on new battery technology.
General Motors is ready to move on from its top-selling electric vehicle to make room for larger models that run on new battery technology.
Driverless Waymo car froze briefly during trip near Downtown Phoenix
What began as an ordinary driverless ride ended up going viral, as the Waymo car froze up for a brief moment, after it encountered a small parade near Downtown Phoenix.
What began as an ordinary driverless ride ended up going viral, as the Waymo car froze up for a brief moment, after it encountered a small parade near Downtown Phoenix.
Red Cross urges gamers to obey laws of war while playing first-person shooters: 'Even wars have rules'
The humanitarian group wants to fight against the normalization of war, even for people playing video games on their couches.
The humanitarian group wants to fight against the normalization of war, even for people playing video games on their couches.
Tow truck driving TikToker shows how thieves steal car parts
A tow truck driver turned TikToker is warning people across the D.C. region about car thieves.
A tow truck driver turned TikToker is warning people across the D.C. region about car thieves.



















