Scientists use new strategy to successfully shrink tumors in early brain cancer trials
Study finds loneliness may strengthen part of brain tied to imagination
Researchers have found that loneliness might actually help build and strengthen parts of the brain tied to the imagination and thinking of others.
WASHINGTON - A fresh approach to battling an aggressive form of brain tumor has shown promise in small-scale experiments involving a few patients.
Scientists transformed immune cells from the patients into "living drugs" capable of identifying and attacking glioblastoma, a type of brain cancer. Initial tests revealed that these cells managed to shrink tumors, albeit temporarily, as researchers reported on Wednesday.
While CAR-T therapy, used to combat blood-related cancers such as leukemia, has been effective, its application to solid tumors has posed challenges. However, teams at Massachusetts General Hospital and the University of Pennsylvania are working on improved CAR-T versions tailored to overcome glioblastoma's defenses.
Dr. Stephen Bagley from the University of Pennsylvania, who spearheaded one of the studies, emphasized that it's still early. Nevertheless, there's optimism that this groundwork provides a solid foundation for further advancement.
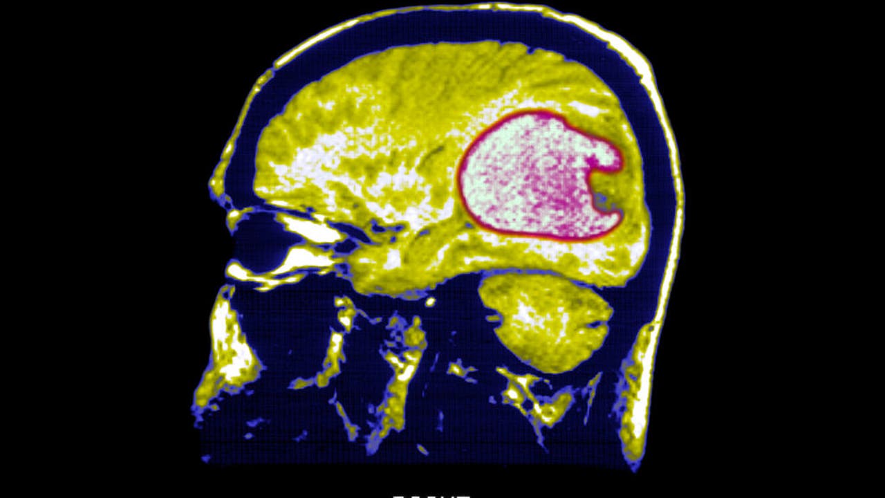
What is Glioblastoma?
Glioblastoma, the type of brain cancer that claimed the lives of Beau Biden, son of President Joe Biden and longtime Arizona Senator John McCain, is notoriously fast-growing and challenging to treat. Patients typically survive for 12 to 18 months following diagnosis, and despite years of research, there are limited options for treatment once the cancer recurs after surgery and radiation.
It affects individuals of all ages but is more common in older adults and men. According to Mayo Clinic, symptoms include worsening headaches, nausea, vomiting, vision issues, and seizures. Unfortunately, there is currently no cure, but treatments may help slow cancer growth and alleviate symptoms.
T cells, part of the immune system, naturally combat diseases, yet cancer often evades detection. CAR-T therapy involves genetically modifying a patient's T cells to enhance their ability to locate specific cancer cells.
However, solid tumors like glioblastoma pose an added challenge because they comprise various cancer cell types with different mutations. Targeting only one type can allow the others to continue increasing.
Researchers at Mass General and Penn devised innovative strategies to address this issue and tested them in patients whose tumors had recurred after standard treatment.
At Mass General, Dr. Marcela Maus' team combined CAR-T with T-cell-engaging antibody molecules, which attract nearby regular T cells to assist in attacking cancer cells. Their approach, called CAR-TEAM, targets a protein called EGFR, which is present in most glioblastomas but not in normal brain tissue.
Using T cells to fight cancer
Penn's method involved developing dual-target CAR-T therapy, which seeks out both the EGFR protein and a second protein common in many glioblastomas.
Both teams administered the treatment through a catheter into the brain's bathing fluid.
Mass General conducted tests on three patients using CAR-TEAM, and brain scans revealed rapid tumor shrinkage shortly after, according to the researchers' report in the New England Journal of Medicine.
"We were all astonished," Maus remarked. "That's not something we typically see."
Although two patients witnessed their tumors regrowing shortly after treatment, a subsequent dose administered to one of them failed to yield results. However, one patient exhibited a response to the experimental therapy that endured for over six months.
Similarly, Penn researchers shared in Nature Medicine that the initial six patients treated with their therapy displayed varying degrees of tumor reduction. While some experienced rapid relapse, Bagley noted that one patient treated in August has shown no signs of regrowth thus far.
The primary challenge for both teams is to extend the duration of the treatment's effectiveness.
"Ultimately, none of these advancements will matter if the effects aren't long-lasting," Bagley emphasized.
The Associated Press contributed to this story. It was reported from Los Angeles.