Biden promises 'I will always level with you' in detailing COVID-19 plan
When it comes to America's fight against COVID-19, President-Elect Joe Biden isn't promising the world.
When it comes to America's fight against COVID-19, President-Elect Joe Biden isn't promising the world.
Texas surgeon noticing some post-COVID-19 lungs have more scar tissue than smokers’ lungs
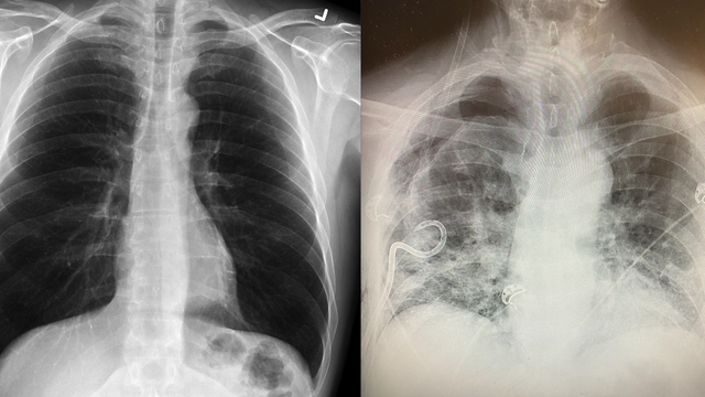
A surgeon in Texas revealed she’s seeing a pattern of lung scarring in some patients who have had COVID-19 that’s worse than what she sees in smokers’ lungs.
A surgeon in Texas revealed she’s seeing a pattern of lung scarring in some patients who have had COVID-19 that’s worse than what she sees in smokers’ lungs.
Memorial service held for Chandler police officer who died following COVID-19 battle
The Chandler Police Department is mourning the loss of Officer Tyler Britt, who passed away after long battle with COVID-19.
The Chandler Police Department is mourning the loss of Officer Tyler Britt, who passed away after long battle with COVID-19.
Biden team says Trump lift of ban on travel from Brazil, UK, Ireland amid COVID-19 surge in US won’t stand
In his final days in office, President Donald Trump issued a new proclamation on Monday lifting coronavirus-related bans on travel from Brazil, the United Kingdom, Ireland, and much of Europe as the U.S. inches towards 400,000 COVID-19 deaths.
In his final days in office, President Donald Trump issued a new proclamation on Monday lifting coronavirus-related bans on travel from Brazil, the United Kingdom, Ireland, and much of Europe as the U.S. inches towards 400,000 COVID-19 deaths.
California becomes first state to top 3 million virus cases
California has become the first state to record more than 3 million known coronavirus infections.
California has become the first state to record more than 3 million known coronavirus infections.
California probing separate coronavirus variant linked to large county outbreaks: officials
Scientists have discovered a new coronavirus variant in California, different than the variant that was found in the U.K.
Scientists have discovered a new coronavirus variant in California, different than the variant that was found in the U.K.
As COVID-19 deaths surge, Los Angeles County lifts limit on number of cremations
As the COVID-19 death rate in Los Angeles County continues to climb, county officials have issued an emergency order lifting environmental limits on the number of cremations that can be performed every month.
As the COVID-19 death rate in Los Angeles County continues to climb, county officials have issued an emergency order lifting environmental limits on the number of cremations that can be performed every month.
Nearly two-thirds of US states see rising COVID-19 death toll amid winter surge
Coronavirus deaths are rising in nearly two-thirds of American states as a winter surge pushes the overall toll toward 400,000 amid warnings that a new, highly contagious variant is taking hold.
Coronavirus deaths are rising in nearly two-thirds of American states as a winter surge pushes the overall toll toward 400,000 amid warnings that a new, highly contagious variant is taking hold.
PCSO: Inmate hospitalized with COVID-19 has died
An inmate at a county jail in Tucson has died after contracting COVID-19.
An inmate at a county jail in Tucson has died after contracting COVID-19.
Military nurses, tests coming to help hard-hit Yuma
Yuma County’s soaring numbers come as Arizona’s COVID-19 diagnosis rate ranked the worst in the U.S. over the past week, at one in every 120 people.
Yuma County’s soaring numbers come as Arizona’s COVID-19 diagnosis rate ranked the worst in the U.S. over the past week, at one in every 120 people.
Beginning Jan. 19, people 65 and older can sign up for COVID-19 vaccine
Beginning Tuesday, January 19, thousands of people in Arizona will become eligible to register for the coronavirus vaccine.
Beginning Tuesday, January 19, thousands of people in Arizona will become eligible to register for the coronavirus vaccine.
Still no second stimulus check? Here's how to get your money
Some who are still waiting for the money to arrive will need to file a tax return in order to receive the money.
Some who are still waiting for the money to arrive will need to file a tax return in order to receive the money.
Walt Disney World says they will not sell new annual passes
The announcement comes as the Disneyland California theme park halted its annual pass program entirely.
The announcement comes as the Disneyland California theme park halted its annual pass program entirely.
Stimulus checks loaded onto debit cards causing confusion for some
Federal officials say loading the $600 stimulus checks on debit cards was a way to get money out quickly to some Americans, but that is causing some problems.
Federal officials say loading the $600 stimulus checks on debit cards was a way to get money out quickly to some Americans, but that is causing some problems.
North Austin man plants flags as Texan COVID-19 deaths rise above 30K
Shane Reilly has been documenting that number in his front yard by planting flags in his yard for every death in Texas due to COVID-19.
Shane Reilly has been documenting that number in his front yard by planting flags in his yard for every death in Texas due to COVID-19.
Hundreds of children being admitted to Arizona hospitals for COVID-19
Children are being hospitalized for COVID-19 at record numbers in Arizona, according to a Banner Health spokesperson on Jan. 17. She backs up her claim with data that looked at trending numbers for several months in 2020.
Children are being hospitalized for COVID-19 at record numbers in Arizona, according to a Banner Health spokesperson on Jan. 17. She backs up her claim with data that looked at trending numbers for several months in 2020.
New COVID-19 strains shows possible 'resistance' to antibody, but not vaccines
President-elect Joe Biden’s nomination to head the CDC, Dr. Rochelle Walensky, said at least one new coronavirus strain has shown resistance to treatments - but insists the vaccines are still effective.
President-elect Joe Biden’s nomination to head the CDC, Dr. Rochelle Walensky, said at least one new coronavirus strain has shown resistance to treatments - but insists the vaccines are still effective.
Arizona health officials talk availability of second COVID-19 vaccine doses
With the second phase of the COVID-19 vaccine distribution plan underway, health experts are talking about whether or not Arizona has enough second doses to give.
With the second phase of the COVID-19 vaccine distribution plan underway, health experts are talking about whether or not Arizona has enough second doses to give.
First confirmed case of U.K. coronavirus variant found in Los Angeles County
The Los Angeles County Department of Public Health has confirmed the first case of COVID-19 variant B.1.1.7. It is the same variant that was discovered in the United Kingdom.
The Los Angeles County Department of Public Health has confirmed the first case of COVID-19 variant B.1.1.7. It is the same variant that was discovered in the United Kingdom.
Arizona reports 8,715 additional coronavirus cases, 208 deaths
The Department of Health Services reported 8,715 additional known cases and 208 additional deaths, increasing the pandemic totals to 666,901 cases and 11,248 deaths.
The Department of Health Services reported 8,715 additional known cases and 208 additional deaths, increasing the pandemic totals to 666,901 cases and 11,248 deaths.



















