South Carolina GOP primary: Trump projected to win as Haley vows to stay in race
Donald Trump is projected to win the GOP South Carolina primary, winning his fourth straight primary and defeating Nikki Haley in her home state.
Donald Trump is projected to win the GOP South Carolina primary, winning his fourth straight primary and defeating Nikki Haley in her home state.
Michigan 2024 Presidential Primary: Biden-Trump discontent could bring drama to predictable contest
Even as a Biden-Trump rematch grows more likely, Michigan could still inject some mayhem into what's supposed to be a predictable presidential primary contest. Here's why:
Even as a Biden-Trump rematch grows more likely, Michigan could still inject some mayhem into what's supposed to be a predictable presidential primary contest. Here's why:
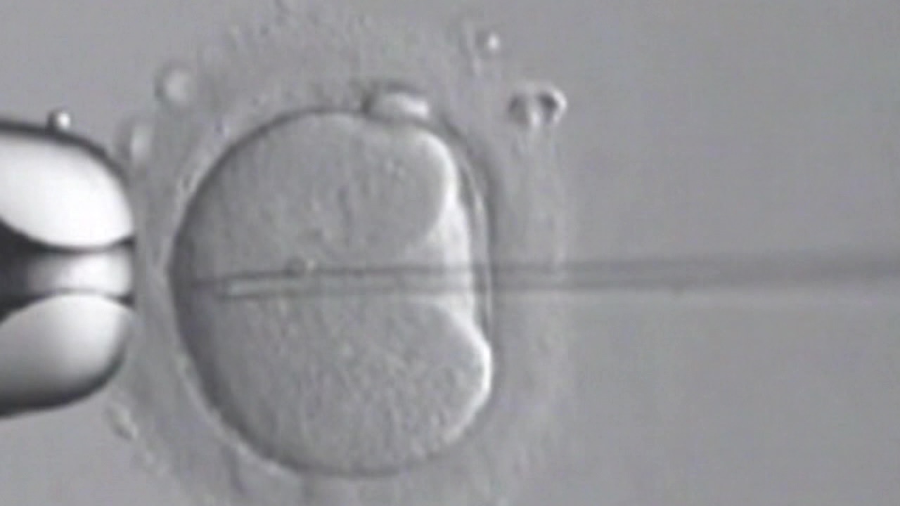
IVF: Alabama high court's embryo ruling leaves some families worried about ripple effects
The fallout continues after Alabama's Supreme Court rules that frozen embryos will now be considered as children.
The fallout continues after Alabama's Supreme Court rules that frozen embryos will now be considered as children.
Arizona bill would ban state, local dollars from being used in homeless hotel programs
If the bill is approved and signed into law, it would ban the practice of using state or local dollars on what is known as mixed hoteling, where hotels are open to the general public while also serving as a homeless shelter.
If the bill is approved and signed into law, it would ban the practice of using state or local dollars on what is known as mixed hoteling, where hotels are open to the general public while also serving as a homeless shelter.
AL court ruling on embryos leaves some worried
The fallout continues after Alabama's Supreme Court rules that frozen embryos will now be considered as children. FOX 10's Kenzie Beach sat down with a doctor who dispelled some misconceptions surrounding in-vitro fertilization (IVF), as well as a woman who became pregnant as a result of a successful treatment.
The fallout continues after Alabama's Supreme Court rules that frozen embryos will now be considered as children. FOX 10's Kenzie Beach sat down with a doctor who dispelled some misconceptions surrounding in-vitro fertilization (IVF), as well as a woman who became pregnant as a result of a successful treatment.
Democrats blast high-end life insurance plans as tax dodging schemes for rich
In the report, authored by Chair Ron Wyden (D-Ore.), Democrats argued that these insurance policies exist only to promote “ultra-high net worth clients,” and act as a tax break for them in order to avoid paying billions.
In the report, authored by Chair Ron Wyden (D-Ore.), Democrats argued that these insurance policies exist only to promote “ultra-high net worth clients,” and act as a tax break for them in order to avoid paying billions.
Haley says US will have 'female president' — either herself or Kamala Harris
Republican presidential candidate Nikki Haley says that there is going to be a female president soon — either herself or Vice President Kamala Harris.
Republican presidential candidate Nikki Haley says that there is going to be a female president soon — either herself or Vice President Kamala Harris.
Judge denies Trump's request to delay $355M penalty
A New York City judge denied former President Donald Trump's request to pay a huge settlement in his civil fraud case.
A New York City judge denied former President Donald Trump's request to pay a huge settlement in his civil fraud case.
APS rate hike: Customers voice concerns as company defends request to raise prices
Some APS customers are making their voices heard, as the utility company's request to increase rates comes before the Arizona Corporation Commission. The company wants to raise rates by an average of 11% for most residential customers.
Some APS customers are making their voices heard, as the utility company's request to increase rates comes before the Arizona Corporation Commission. The company wants to raise rates by an average of 11% for most residential customers.
APS rate hike request leaves some worried
Some APS customers are making their voices heard, as the utility company's request to increase rates comes before the Arizona Corporation Commission. FOX 10's Brian Webb reports.
Some APS customers are making their voices heard, as the utility company's request to increase rates comes before the Arizona Corporation Commission. FOX 10's Brian Webb reports.
Biden meets with Alexei Navalny's family in San Francisco
During his California visit, President Joe Biden on Thursday met in San Francisco with Alexei Navalny's widow and daughter to express his condolences to them, less than a week after the Russian opposition leader was found dead in prison.
During his California visit, President Joe Biden on Thursday met in San Francisco with Alexei Navalny's widow and daughter to express his condolences to them, less than a week after the Russian opposition leader was found dead in prison.
Alabama Supreme Court ruling: Frozen embryos, IVF future explained
Frozen embryos created during fertility treatments can be considered children under Alabama state law, the state’s Supreme Court ruled Friday.
Frozen embryos created during fertility treatments can be considered children under Alabama state law, the state’s Supreme Court ruled Friday.
AZ Senate race: Gallego leads in hypothetical poll
Democratic Congressman Ruben Gallego leads in a hypothetical three-way race for Independent Kyrsten Sinema's Senate seat, who has still not said if she will run for re-election. According to a new poll, Gallego leads with 36%, compared to 30% for Republican Kari Lake, and 21% for Sinema. Thirteen percent remain undecided. In a matchup of just Gallego and Lake, Gallego's lead jumps to 46%, with 39% for Lake. Fifteen percent are undecided. The poll was conducted by Emerson College Polling and The Hill. The same poll shows Arizona leaning toward Donald Trump in a one-on-one matchup with President Joe Biden.
Democratic Congressman Ruben Gallego leads in a hypothetical three-way race for Independent Kyrsten Sinema's Senate seat, who has still not said if she will run for re-election. According to a new poll, Gallego leads with 36%, compared to 30% for Republican Kari Lake, and 21% for Sinema. Thirteen percent remain undecided. In a matchup of just Gallego and Lake, Gallego's lead jumps to 46%, with 39% for Lake. Fifteen percent are undecided. The poll was conducted by Emerson College Polling and The Hill. The same poll shows Arizona leaning toward Donald Trump in a one-on-one matchup with President Joe Biden.
Biden weighs new executive action to limit asylum at the border
The Biden administration is looking into options to manage illegal border crossings President Joe Biden could use without congressional approval after Republicans blocked a bipartisan border bill.
The Biden administration is looking into options to manage illegal border crossings President Joe Biden could use without congressional approval after Republicans blocked a bipartisan border bill.
Murder investigation along Phoenix canal; Deck Park Tunnel leak explained | Nightly Roundup
From a man whose body was found in a Phoenix canal to what's causing a leak in the Deck Park Tunnel in Downtown Phoenix, here's a look at our top stories.
From a man whose body was found in a Phoenix canal to what's causing a leak in the Deck Park Tunnel in Downtown Phoenix, here's a look at our top stories.
Arizona bill aims to allow mobile home owners to put in air conditioning units
If approved and signed into law, mobile home owners could install air conditioning units. But some landlords argue ACs are noisy, unsightly, and can bring down a mobile home park's property value.
If approved and signed into law, mobile home owners could install air conditioning units. But some landlords argue ACs are noisy, unsightly, and can bring down a mobile home park's property value.
AZ bill aims to cut down on heat deaths
The bill, if approved and sign into law, will allow mobile home owners to install AC units, but not everyone agrees with the bill. FOX 10's Brian Webb reports.
The bill, if approved and sign into law, will allow mobile home owners to install AC units, but not everyone agrees with the bill. FOX 10's Brian Webb reports.
Alabama hospital halts IVF following state ruling saying frozen embryos are children
The University of Alabama at Birmingham health system said in a statement Wednesday that it must evaluate whether its patients or doctors could face criminal charges or punitive damages for undergoing IVF treatments.
The University of Alabama at Birmingham health system said in a statement Wednesday that it must evaluate whether its patients or doctors could face criminal charges or punitive damages for undergoing IVF treatments.
Biden tells California supporters to stay focused on what’s at stake in reelection battle
The president will also make campaign stops in San Francisco and Los Altos Hills this week and will deliver a policy speech near Los Angeles on Wednesday, in an effort to collect as much cash as he can for his reelection bid.
The president will also make campaign stops in San Francisco and Los Altos Hills this week and will deliver a policy speech near Los Angeles on Wednesday, in an effort to collect as much cash as he can for his reelection bid.
Magic mushroom bill advances at AZ capitol
A unique bill at the Arizona State Capitol has crossed its first hurdle. A Senate committee unanimously passed a bill that would medically legalize psilocybin, which is the active ingredient found in magic mushrooms. It could potentially be used to help treat PTSD and forms of depression and anxiety. FOX 10's Syleste Rodriguez spoke with a licensed doctor who is licensed by the federal government to grow magic mushrooms.
A unique bill at the Arizona State Capitol has crossed its first hurdle. A Senate committee unanimously passed a bill that would medically legalize psilocybin, which is the active ingredient found in magic mushrooms. It could potentially be used to help treat PTSD and forms of depression and anxiety. FOX 10's Syleste Rodriguez spoke with a licensed doctor who is licensed by the federal government to grow magic mushrooms.




















