Apologies to Kate Middleton roll in after cancer diagnosis revealed
Several celebrities have offered remorse for their part in the internet speculation about Kate’s wellbeing – and many on the internet are calling for official public apologies from several more.
Woman beats cancer and accepts proposal from high school sweetheart on the same day
“You ready? You got this?” her loved ones asked as they get ready to turn a corner. Angelica said yes, but had no idea what was waiting for her at the other end of the hallway.
Kate and Prince William release new statement after cancer announcement
Kate, Princess of Wales, and Prince William have released a new statement this weekend following Kate’s shocking cancer announcement Friday.
New issues at AZ nursing facility revealed; Kate Middleton announces cancer battle | Nightly Roundup
From new issues surrounding a nursing facility where an employee is accused of sexual assault to a new cancer battle for another member of the British Royal Family, here's a look at some of our top stories.
Kate Middleton cancer announcement draws worldwide reaction
After Kate, the princess of Wales, announced Friday that she has cancer, reactions poured in from around the world.
Kate Middleton cancer video: What a surgeon says about her diagnosis
Kate Middleton, princess of Wales, announced on Friday that she has been diagnosed with cancer.
Anti-Bully gang supporting Katy High School sophomore with cancer
A San Antonio organization rallies around sophomore cancer survivor Tayden Ybarra to combat bullying at Katy High School, sparking a viral movement of support.
Richard Simmons reveals skin cancer diagnosis
One day after concerning fans with a startling social media post in which he said he was "dying," Richard Simmons revealed he's been diagnosed with skin cancer.
What still has asbestos? EPA announces comprehensive ban on carcinogen
The Environmental Protection Agency (EPA) announced a comprehensive ban on asbestos due to its carcinogenic nature, despite its continued use in some products like chlorine bleach and brake pads, which still pose a threat to public health.
Colon cancer: Phoenix area woman shares her battle during Colorectal Cancer Awareness Month
March is Colorectal Cancer Awareness Month, and a Phoenix area woman is telling the story of her battle with the disease, and advice she has for others.
The breast cancer risk assessment tool Olivia Munn used, and when to get screened for it
Olivia Munn revealed that she has breast cancer and has battled the disease since 2023.
Olivia Munn diagnosed with breast cancer
The 43-year-old actress has been battling the disease since April 2023.
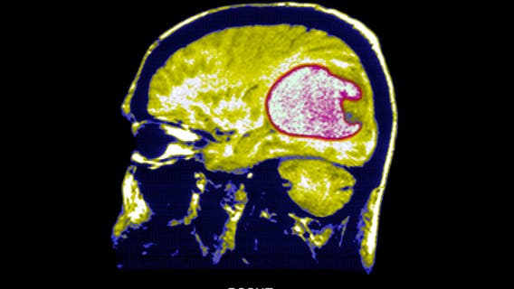
Scientists use new strategy to successfully shrink tumors in early brain cancer trials
Researchers converted immune cells from patients into "living drugs" with the ability to recognize and combat glioblastoma, a form of brain cancer.
Christie Brinkley reveals skin cancer diagnosis
Supermodel and actress Christie Brinkley revealed she was diagnosed with basal cell carcinoma.
Actor Gary Sinise recalls son's last days: 'He was happy at the end of his life'
In January, actor Gary Sinise lost his son, McCanna "Mac" Sinise, to cancer. He was 33.
Cancer-causing chemical linked to popular acne products, lab says
An independent laboratory is calling on federal health officials to recall popular benzoyl peroxide acne treatment products after discovering that they contain high levels of a chemical linked to cancer.
DC singer Cat Janice dies after cancer battle; viral final song dedicated to young son
D.C. musician Cat Janice died Wednesday after a battle with cancer. Her final song, ‘Dance You Outta My Head,’ went viral and charted worldwide after it was released in January.
Widow of Tim Wakefield dies less than 5 months after former pitcher's passing
Stacy Wakefield, the widow of former Boston Red Sox pitcher Tim, died Wednesday.
At concert, Drake gives $100K to fan who just finished chemo
A Drake fan who just finished chemotherapy and almost didn’t make it to his Nashville concert got the surprise of a lifetime - and so did Drake's manager.
Gary Sinise's son 'Mac' dies following cancer battle
Gary Sinise' son, McCanna Anthony 'Mac' Sinise, was diagnosed with a form of cancer called Chordoma in 2018.



















