Prenuvo full-body MRI detects woman's brain tumor
Valley doctors weigh in on $2,500 Prenuvo scan
When it comes to your health, how far would you go to find out what's going on inside? FOX 10's Dominique Newland has more on a proactive approach some are now taking that's growing in popularity.
SCOTTSDALE, Ariz. - For Andrea Schaffer, the possibility of breast cancer was on her mind, an unfortunate twist to life that many can relate to.
Her mother was diagnosed at 44, and even after negative mammograms, the former Mesa resident was ready to take a deep dive into her health.
What they're saying:
"I wanted to make sure I took care of myself and that I was proactive about myself, so that's when I decided to get the Prenuvo scan," said Andrea Schaffer, a Prenuvo patient.
Andrea first learned about Prenuvo in 2022 through her job. It's a full-body MRI scan that screens for over 500 medical conditions, including cancerous tumors. It is FDA approved, but it is not covered by insurance. Patients pay out-of-pocket anywhere from $1,000 to $2,500. Prenuvo has 22 clinics across the globe, including one in Scottsdale.
"We took a scientific approach to whole body MRI, so we've tailored the protocols and the technology to capture as much meaningful information about your entire body as we can in one setting, under an hour, without contrast or radiation," said Dr. Amar Patel, vice president of neuroradiology at Prenuvo.
Working as an oncology nutrition consultant, Andrea says she saw clients every day who would discover their diagnosis too late in the game. She wanted to get ahead of any outcome she might face.
(Andrea Schaffer)
"I took the opportunity to learn about my whole body, which is one of the beautiful things about this," Schaffer said. "It's not focused on just where you have perhaps symptoms. I never had symptoms, but it went through your entire body, and it was an incredible learning opportunity."
Right before her birthday in February 2023, Andrea got the Prenuvo scan, feeling at ease, healthy, in and out within an hour.
‘I had no symptoms’
Andrea was told her results would come in two weeks, but that was fast-tracked to less than 24 hours — a call that would change her life.
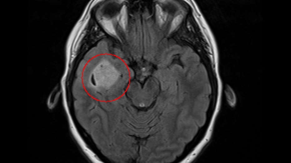
"When they give you a report, they start at the top of the body, and the first thing she said to me was, ‘You have a 2.3 by 2.4 centimeter mass in the right temporal lobe of your brain,’" Schaffer recalled. "That was not what I expected. I had no symptoms."
The scan detected a tumor the size of a walnut, a rare form of brain cancer. Surgeons at Phoenix's Barrow Neurological Institute were able to completely remove it just two months from her diagnosis. Andrea is grateful for the preventive MRI that ultimately saved her life.
(Andrea Schaffer)
‘Is it worth it to you?’
But some physicians warn that when it comes to full-body scans, knowledge isn't always power.
"The American Academy of Radiologists discourages this, and you would think that they would encourage more testing, but they're recommending just the opposite, not to do that. Just to do a mainly symptom-based [scan]," said Dr. Frank Lovecchio, an emergency physician with Valleywise Health. "I have problems with my chest, so you might get an MRI of your chest, or I have problems with my abdomen or stomach, so you might get an MRI of that. So it's up to 20% false positives — that means I see something, it's suspicious, let's go after it, and it turns out to be nothing."
Lovecchio, the medical director of clinical research at the College of Health Solutions at ASU, says the chance of false positives and detecting benign abnormalities is something to put into perspective. It could send patients down a rabbit hole of follow-up tests, unnecessary procedures and added stress.
(Andrea Schaffer)
"About 20% of the time, you're going to find something that you didn't want to find, and it's going to turn out to be OK," Lovecchio said. "1 or 2% of the time, you're going to find a real cancer. So is it worth it to you, to the anxiety, is it worth the cost, is it worth the worrying? Is it worth all the potential procedures that are required to get those answers?"
Medical organizations, including the Food and Drug Administration and the American College of Preventive Medicine, state that full-body scanning of patients without any underlying symptoms can do more harm than good.
‘I’m forever grateful'
But for Andrea, it was the opposite, emphasizing she would invest in Prenuvo again.
"I'm forever grateful that I could be proactive about my health, and yes, I had to pay out of pocket, but the cost is nominal when you consider the benefit," Schaffer said. "Had I had a seizure while driving, that could've taken my life or someone else's life. I can solidly say that finding my brain tumor has improved my health. I have made my health my number one priority."
Now, Andrea is approaching her three-year cancer-free mark. After surgery, she followed a ketogenic diet without any radiation or chemotherapy. A doctor's referral is not required to get the Prenuvo scan, but it's important to weigh all options.
(Andrea Schaffer)
"My best recommendation would be talk to your doctor, have your doctor order it and have that discussion," Lovecchio said. "If they decide to order it, if you decide to get it, great. That way, if something is found, which is going to be found 20% of the time, that you have good referral networks rather than you're not on your own, you're not on your own island looking for people."
Even though Andrea was surrounded by support from her team of doctors, every journey is different. But one message remains the same: Putting yourself first isn't selfish; it's a crucial step toward ensuring your well-being for years to come.
The Source: FOX 10's Dominique Newland gathered information and interviews for this report.